Caricamento in corso... Caricamento in corso...
  • Chi Siamo
  • Attività Studio
  • Casi Clinici
  • Convenzioni
  • Contatti

Studio Odontoiatrico Caleffi

Casi Clinici

Caleffi - Prevenzione cariePrevenzione Carie e Sbiancamento
Caso 1 – Sbiancamento
Terapie Conservative
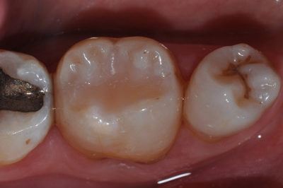
Caso 2 – Otturazione
Terapie Conservative
Caso 3 – Ricostruzione estetica
Terapie Conservative
Caso 4 – Ricostruzione estetica e frenulectomia
Terapie Conservative
Caso 5 – Ricostruzione estetica e agenesia
Terapie Conservative
Caso 6 – Onlay in composito
Terapie Conservative
Caso 7 – Intarsio in composito
Prevenzione e Cura della Malattia Parodontale
Caso 8 – Gengivite
Prevenzione e Cura della Malattia Parodontale
Caso 9 – Ricopertura di radici
Prevenzione e Cura della Malattia Parodontale
Caso 10 – Ricopertura di radici
Prevenzione e Cura della Malattia Parodontale
Caso 11 – Chirurgia Rigenerativa
Protesi
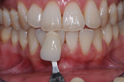
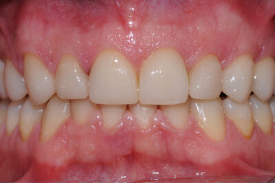
Caso 12 – Capsule
Protesi
Caso 13 – Faccette
Protesi
Caso 14 – Faccette
Protesi
Caso 15 – Faccette
Chirurgia ed Implantologia
Caso 16 – Impianto singolo
Chirurgia ed Implantologia
Caso 17 – Impianti multipli
Diagnostica 2D e 3D digitale
Caso 18 – Ortopanoramica
Diagnostica 2D e 3D digitale
Caso 19 – Ritrattamento Canalare
Diagnostica 2D e 3D digitale
Caso 20 – Estrazione Ottavo Incluso
Diagnostica 2D e 3D digitale
Caso 21 – Pianificazione virtuale implantare

Via Archimede, 10 - 00197 Roma


Tel. 06.80691894 Mob. 331.9090420
P. Iva: 08799491009 - info@studiodontocaleffi.it

© 2026 Studio Odontoiatrico Caleffi // Policy & Terms | Code&Design by RdMedia